Consecuencias de tener un frenillo lingual corto

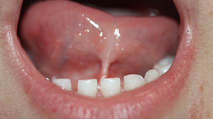
El frenillo lingual es un pliegue vertical de mucosa que une por su centro la parte delantera de la lengua al suelo de la boca. Cuando es más corto de lo normal, los movimientos de la lengua se ven limitados, de modo que no se pueda tocar el paladar o el labio superior con la punta de la lengua. También se considera que el frenillo lingual es corto cuando se une a la lengua en una posición demasiado adelantada.
Un modo de poder apreciar si un niño tiene el frenillo lingual corto es comprobar si tiene alguno de estos síntomas:
- Si al sacar la lengua su punta adquiere la forma de v, al dibujarse una hendidura en su centro al tirar de ella el frenillo, la lengua forma una especie de corazón.
- Tiene el frenillo demasiado cerca de la punta de la lengua.
- Le cuesta trabajo sacar la lengua.
- No puede tocarse la bóveda palatina con la punta de la lengua. Es decir, no eleva la lengua hacia los dientes y el paladar.
- Come con dificultad: tarda muchísimo en terminar porque no traga bien, se sofoca si come a un ritmo normal, hace movimientos raros con la boca…
Tener un frenillo corto, como ya se ha dicho, limita la movilidad de la lengua, lo que se traduce en una serie de alteraciones significativas:
- Lactancia: la movilidad de la lengua desempeña un papel importante en la lactancia, por lo que el frenillo lingual corto puede plantear alguna dificultad al lactante para extraer la leche.
- Lenguaje y habla: al no poder elevarse la lengua suficientemente se tienen dificultades para pronunciar las consonantes que requieren del contacto de la lengua en el paladar (t, d, n, l, r).
- Lesiones: el frenillo lingual corto supone que éste roce constantemente con los dientes inferiores, pudiéndose producir alguna herida o incluso un desgarro.
Cuándo operar el frenillo a tu hijo
La lengua es un órgano muscular importantísimo, que debe gozar de gran movilidad para poder realizar sus diversas funciones dentro de la boca (permite la salivación, la succión, la deglución, la articulación de sonidos y palabras…).
Si efectivamente el pediatra le diagnostica una alteración del frenillo (médicamente se conoce como anquiloglosia), será necesario intervenirle.
Y es que este defecto, además de dificultarle el acto de alimentarse, hará que le resulte muy incómodo balbucear y es posible que el pequeño, en vez de seguir intentándolo, opte por no hablar, lo que retrasaría su adquisición del lenguaje. Más adelante le impediría pronunciar algunos fonemas como la erre en su sonido fuerte, la ce, la ele o la de.
UNA SOLUCIÓN SENCILLÍSIMA
Es muy posible, que cuando nacen, antes de salir del hospital, ya les corten el frenillo si lo ven corto. Para evitar que el niño se dé mucha cuenta de lo que le van a hacer, lo mejor es operarle alrededor de los 12 meses.
Aunque ya sabemos que es difícil, procura no angustiarte. La cirugía indicada para la resección del frenillo lingual (frenotomía) es muy sencilla, dura sólo 20 minutos y como se realiza con anestesia local, no precisa de ninguna preparación especial.
El corte se realiza con unas tijeras estériles y no es preciso cerrarlo con puntos de sutura (la saliva favorece la cicatrización). Tu hijo no sentirá dolor y podrás llevártelo a casa el mismo día que le operen, porque no es necesario ingresarle.
Respecto al postoperatorio, no podrá tomar nada hasta que se le pase el efecto de la anestesia (entre cuatro y seis horas).
Una vez que empieces a darle de comer, hazlo con alimentos que no estén calientes, para que no le produzcan molestias. Después de cada comida tendrás que enjuagarle la boca con una gasita esterilizada humedecida en la solución antiséptica que te recomiende el especialista (tal vez tengas que rebajarla un poco con agua).
Para que no se le infecte la herida, durante los próximos días evita que se meta los dedos o cualquier juguete en la boca (y vigila bien la higiene de su chupete). Transcurrida una semana, el corte habrá cicatrizado y ya no habrá riesgo de infección.
Notarás un cambio espectacular en la forma de comer de tu hijo, lo hará con menos dificultad y con más gusto. Comprobarás que en poco tiempo, la movilidad, el control, la coordinación y por tanto, la pronunciación mejorará considerablemente.
En casos en los que la longitud del frenillo lingual es sólo ligeramente inferior a la considerada como normal, cabe la posibilidad de que un tratamiento de rehabilitación realizado por un logopeda permita compensar las limitaciones de movilidad de la lengua.